Професійна гігієна порожнини рота

Професійна гігієна - комплекс процедур для підтримання здоров'я зубів та ясен. Рекомендується кожні 6 місяців для профілактики карієсу та захворювань ясен.

Професійна гігієна - основа здоров'я зубів. У стоматології Sorridi в Ірпені проводимо комплексну чистку ультразвуком та системою Air Flow. Регулярна гігієна запобігає карієсу, хворобам ясен і допомагає зберегти свіже дихання та природний колір зубів.

Навіть при ретельному домашньому догляді в важкодоступних місцях накопичується зубний камінь і наліт, які щіткою не прибрати. Професійна чистка видаляє всі відкладення, полірує емаль і наносить захисне фторове покриття - це запобігає гінгівіту, пародонтиту та карієсу.

Використовуємо ультразвуковий скейлер для видалення каменю, Air Flow для м'якого нальоту, полірування та зміцнення емалі. Рекомендована частота - раз на 6 місяців, при схильності до утворення каменю - кожні 3-4 місяці.

Етапи професійної гігієни в Ірпені

Комплексна гігієна

  • Ультразвукове видалення каменю
  • Air Flow чистка
  • Полірування зубів
  • Фторування емалі

від 2 200 грн

Ультразвукова чистка

  • Видалення зубного каменю
  • Видалення нальоту
  • Полірування
  • Профілактика захворювань ясен

від 800 грн

Професійна гігієна менше 14 зубів

  • Для пацієнтів з частковою адентією
  • Ультразвук + полірування
  • Фторування
  • Економний варіант

від 1 600 грн

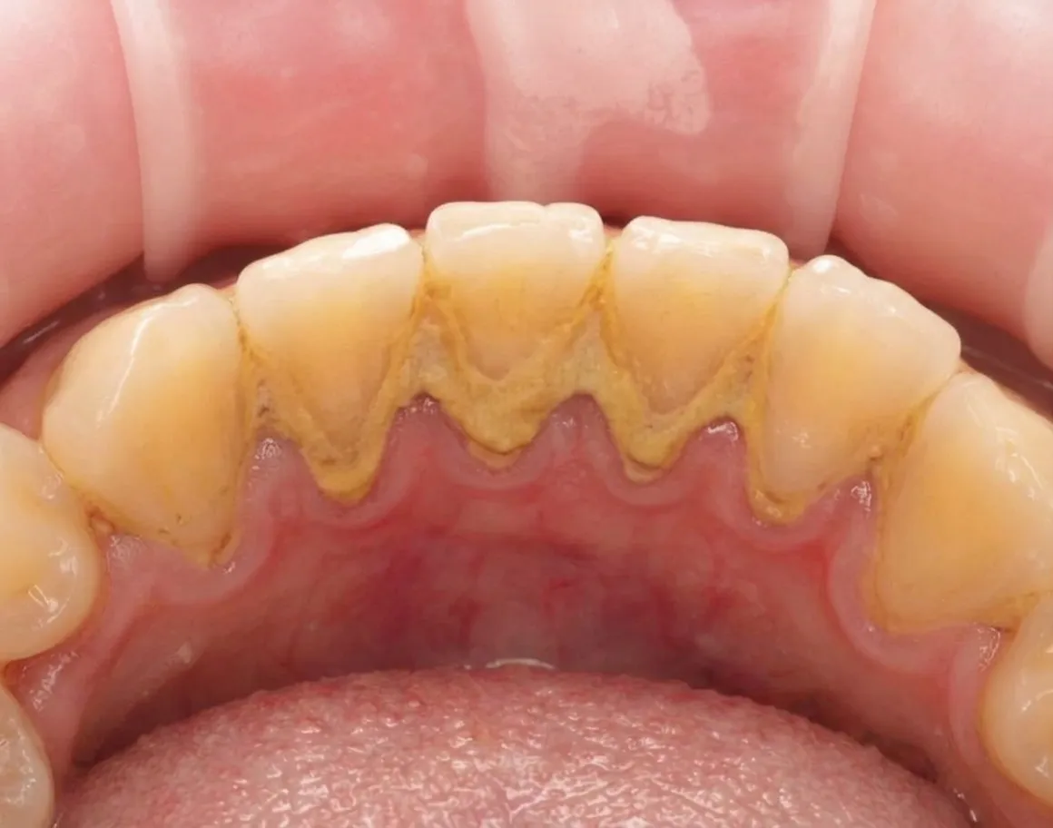
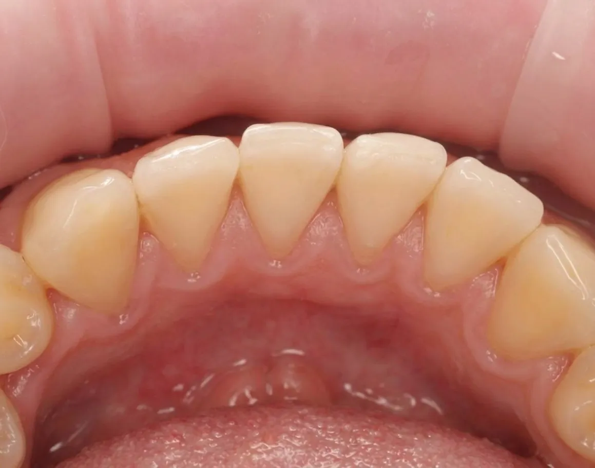
Результати професійної гігієни в Ірпені: До та Після

Результат професійної гігієни - Sorridi Ірпінь Зуби до чистки - Sorridi Ірпінь
До Після

Потягніть за слайдер для порівняння результату

Процес професійна гігієна

1

Огляд

Оцінка стану зубів та ясен

2

Ультразвук

Видалення твердих відкладень

3

Air Flow

Очищення від м'якого нальоту

4

Полірування

Гладка поверхня зубів

5

Фторування

Зміцнення емалі

Переваги професійної гігієни в Sorridi (Ірпінь)

Профілактика карієсу
Профілактика захворювань ясен
Свіже дихання
Відновлення природного кольору зубів
Безболісно
Триває 40-60 хвилин

Часті питання про професійна гігієна

Як часто потрібно робити чистку?

Рекомендується кожні 6 місяців для профілактики. При схильності до утворення каменю - кожні 3-4 місяці.

Чи боляче робити чистку?

Процедура безболісна. При чутливості ясен можливий незначний дискомфорт, який швидко проходить.

Чи можна після чистки їсти і пити?

Рекомендується утриматися від їжі 2 години, від кольорових напоїв - добу.

Коли востаннє робили чистку?

Запишіться на професійну гігієну - процедура займає до 60 хвилин і коштує від 800 грн.