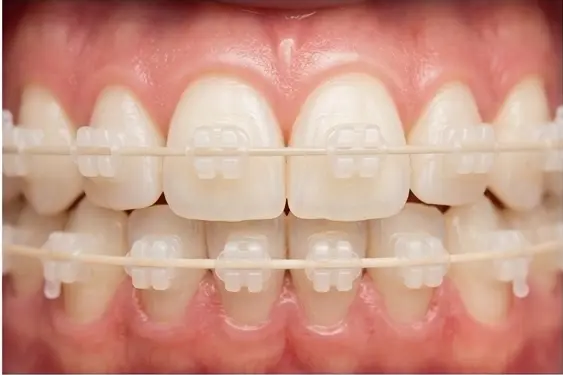
Брекети в Ірпені - металеві, керамічні, сапфірові

Встановлення брекетів в Ірпені у стоматології Sorridi - це інвестиція в здоров'я та красу вашої посмішки. Ортодонт Юлія Кунець допоможе підібрати брекет-систему для дітей і дорослих. Пропонуємо металеві, керамічні, сапфірові та самолігуючі брекети в Ірпені за доступними цінами від 15 000 грн.

Брекети в Ірпені - це перевірений метод виправлення прикусу та вирівнювання зубів для дітей і дорослих. У стоматології Sorridi в Ірпені ми використовуємо сучасні ортодонтичні брекет-системи провідних світових виробників. Ортодонт Юлія Кунець має більше 10 років практики та сотні успішних випадків лікування брекетами в Ірпені та Київській області.

Неправильний прикус - це не лише естетична проблема. Він може спричиняти труднощі з жуванням, дискомфорт у щелепних суглобах, прискорене стирання зубів і порушення дикції. Ортодонтичне лікування брекетами в Ірпені вирішує ці питання комплексно - і для підлітків, і для дорослих пацієнтів.

У нашій клініці в Ірпені можна встановити брекети різних типів: класичні металеві брекети, естетичні керамічні брекети, прозорі сапфірові брекети та самолігуючі системи. Підберемо оптимальний варіант під ваш клінічний випадок і бюджет.

Види брекетів в Ірпені

Металеві брекети в Ірпені

Найпопулярніший та найдоступніший вид брекетів. Металеві брекети в Ірпені - найкращий вибір для ефективного виправлення складних випадків кривизни зубів та неправильного прикусу у дітей і дорослих.

  • Найміцніші та надійні
  • Швидке лікування
  • Оптимальна ціна
  • Термін носіння: 12-18 місяців

від 15 000 грн (1 щелепа)

Керамічні брекети в Ірпені

Керамічні брекети в Ірпені - естетична альтернатива металевим. Колір брекетів максимально наближений до кольору зубів, тому вони малопомітні під час носіння. Популярний вибір серед дорослих пацієнтів.

  • Естетичні, малопомітні
  • Колір під емаль зубів
  • Не забарвлюються
  • Термін носіння: 14-20 місяців

від 20 000 грн (1 щелепа)

Сапфірові брекети в Ірпені

Сапфірові брекети в Ірпені - найестетичніший варіант брекет-систем. Виготовляються з монокристалічного сапфіру, що робить їх практично прозорими. Ідеальний вибір для тих, хто хоче виправити прикус непомітно.

  • Практично прозорі, непомітні
  • Не змінюють колір та не жовтіють
  • Гіпоалергенні, біосумісні
  • Термін носіння: 14-20 місяців

від 22 000 грн (1 щелепа)

Самолігуючі керамічні брекети

Самолігуючі брекети в Ірпені - сучасна система без еластичних лігатур. Спеціальний замок фіксує дугу, що зменшує тертя, прискорює лікування та потребує менше візитів до ортодонта.

  • Прозорі, максимально естетичні
  • Не жовтіють
  • Гіпоалергенні
  • Термін носіння: 14-20 місяців

від 25 000 грн (самолігуючі, 1 щелепа)

Порівняння брекет-систем

Оберіть найкращий варіант для вашої посмішки

Металеві брекети в Ірпені - Sorridi

Металеві брекети

Переваги
  • Максимальна міцність
  • Ефективність у складних випадках
  • Доступна ціна
Недоліки
  • Видимі на зубах
  • Можливий дискомфорт при звиканні
  • Складніша гігієна
Керамічні брекети в Ірпені - Sorridi

Керамічні брекети

Переваги
  • Малопомітні (під колір емалі)
  • Комфортні для слизової
  • Висока естетика
Недоліки
  • Вища вартість
  • Крихкіші за метал
  • Вимагають обережності з фарбуючими продуктами
Сапфірові брекети в Ірпені - Sorridi

Сапфірові брекети

Переваги
  • Практично невидимі (прозорі)
  • Не забарвлюються
  • Виглядають як прикраса
Недоліки
  • Найвища вартість
  • Можуть потребувати довшого лікування
  • Вимагають ідеальної гігієни
Самолігуючі брекети в Ірпені - Sorridi

Самолігуючі брекети

Переваги
  • Рідші візити до лікаря
  • Швидший результат
  • Легша гігієна (без лігатур)
Недоліки
  • Вища ціна
  • Металеві елементи все одно помітні
  • Можуть бути дещо масивнішими

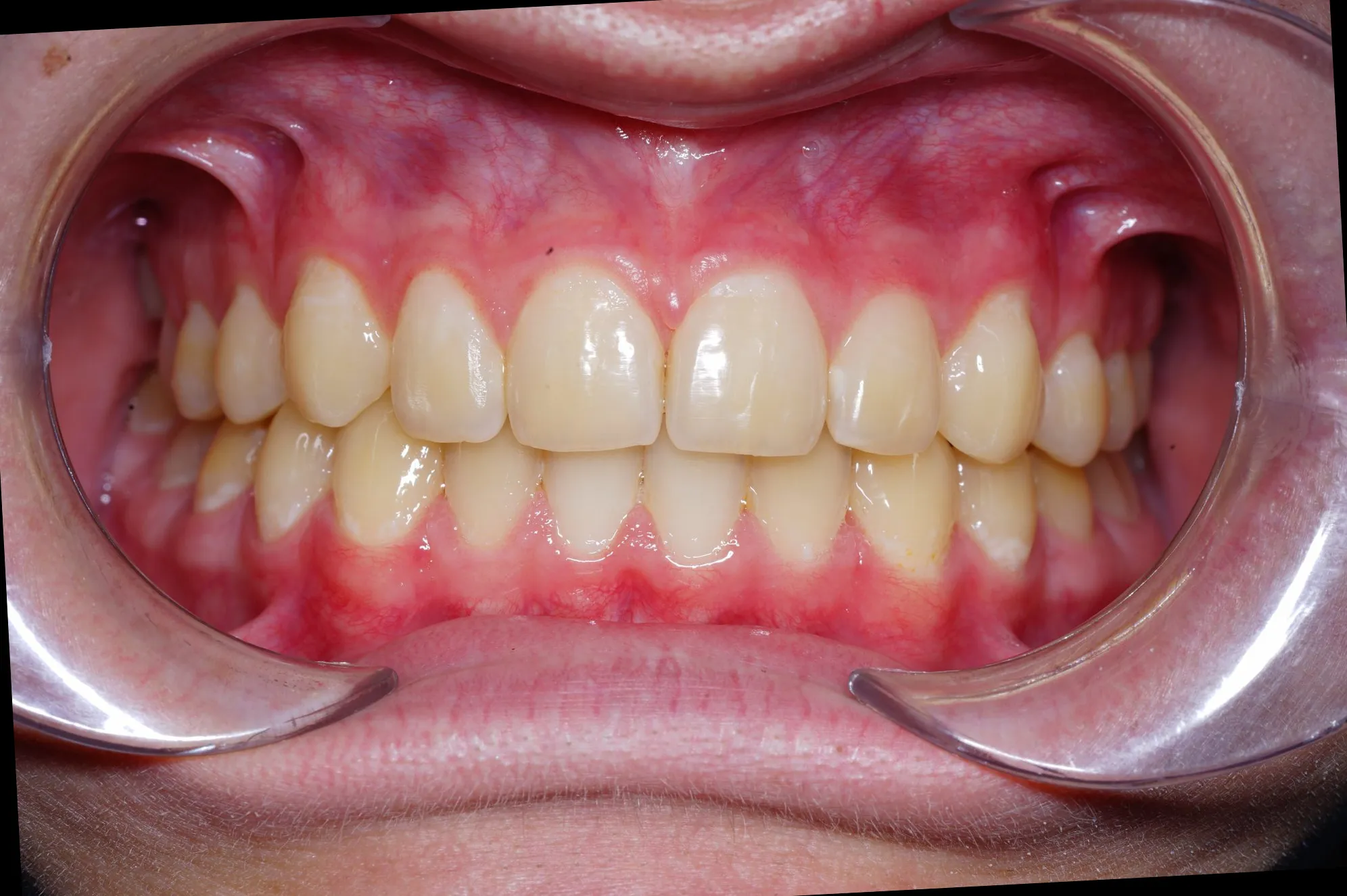
Результати лікування: До та Після

Після встановлення брекетів - Sorridi Ірпінь До встановлення брекетів - Sorridi Ірпінь
До Після

Потягніть за слайдер для порівняння результату

Брекети для дітей та підлітків в Ірпені

Оптимальний вік для початку ортодонтичного лікування брекетами - 12–14 років, після повної зміни молочних зубів на постійні. Саме в цей період щелепа ще активно росте, що значно прискорює виправлення прикусу.

В Ірпені батьки часто запитують: "Коли краще ставити брекети дитині?" Ортодонт Юлія Кунець проведе огляд і визначить оптимальний час початку лікування індивідуально для вашої дитини.

  • Дитяча ортодонтія від 12 років
  • Індивідуальний підхід до кожної дитини
  • Комфортне лікування без стресу
  • Повна діагностика та план лікування

Брекети для дітей vs дорослих

Вік 12–14 років (оптимально)
Термін лікування 12–18 місяців
Типи брекетів металеві, керамічні, сапфірові брекети та самолігуючі системи
Ціна від 15 000 грн / щелепа

Процес встановлення брекетів в Ірпені

1

Консультація ортодонта

Огляд, діагностика, 3D-моделювання результату, складання плану лікування

2

Підготовка

Професійна гігієна, лікування карієсу (при необхідності)

3

Встановлення брекетів

Фіксація брекет-системи на зуби (1.5-2 години)

4

Коригування

Щомісячні візити для активації та корекції (15-20 хвилин)

5

Зняття та ретенція

Зняття брекетів, встановлення ретейнерів для закріплення результату

Чому обирають ортодонта в Sorridi в Ірпені?

Стоматологія Sorridi в Ірпені - це сучасна клініка з досвідченим ортодонтом та повним спектром брекет-систем. Ми працюємо для жителів Ірпеня, Бучі, Гостомеля та навколишніх районів Київської області.

На відміну від клінік без вузькоспеціалізованих ортодонтів, у Sorridi лікування брекетами проводить виключно Юлія Кунець - ортодонт з понад 10-річним досвідом та міжнародними сертифікатами. Кожен пацієнт отримує індивідуальний план лікування на основі 3D-діагностики.

10+

років досвіду ортодонта

4

види брекетів в Ірпені

3D

діагностика перед лікуванням

Переваги встановлення брекетів в Sorridi (Ірпінь)

Ідеально рівні зуби
Правильний прикус
Здоров'я щелепних суглобів
Покращення дикції
3D-моделювання результату
Для всієї родини

Часті питання про брекети в Ірпені

У якому віці можна ставити брекети?

Оптимальний вік - 12–14 років після зміни всіх молочних зубів. Але брекети можна встановлювати в будь-якому віці, у тому числі й дорослим. В Ірпені ми успішно лікуємо пацієнтів від 12 до 45+ років.

Скільки потрібно носити брекети?

Термін лікування залежить від складності випадку: 12–24 місяці. Точний термін визначає ортодонт на консультації після 3D-діагностики в нашій клініці в Ірпені.

Чи болять брекети?

Перші 3–5 днів можливий дискомфорт при жуванні після встановлення або активації. Потім звикаєте і не відчуваєте їх. Більшість пацієнтів Sorridi в Ірпені відзначають комфортне носіння вже з першого тижня.

Скільки коштує лікування брекетами в Ірпені?

Вартість брекетів в Ірпені залежить від типу: металеві - 15 000 грн, керамічні - 20 000 грн, сапфірові - 22 000 грн, самолігуючі керамічні - 25 000 грн за 1 щелепу. Активація системи - 600 грн.

Які брекети краще - сапфірові чи керамічні?

Сапфірові брекети прозоріші та практично непомітні, але дорожчі. Керамічні - більш поширений вибір з хорошою естетикою за доступнішою ціною. Ортодонт Юлія Кунець допоможе підібрати оптимальний тип брекетів в Ірпені саме для вашого випадку.

Де поставити брекети в Ірпені?

Стоматологія Sorridi в Ірпені (вул. Ольги Кобилянської, 1в) - клініка з досвідченим ортодонтом Юлією Кунець. Ми пропонуємо металеві, керамічні, сапфірові та самолігуючі брекети, 3D-діагностику та індивідуальний план лікування. Запис за телефоном +380 93 715 9068.

Чи можна виправити прикус дорослим в Ірпені?

Так, виправлення прикусу брекетами можливе в будь-якому дорослому віці. У стоматології Sorridi в Ірпені ми успішно лікуємо дорослих пацієнтів. Головна умова - здорові зуби та ясна. Запишіться на консультацію ортодонта для оцінки вашого випадку.

Хочете рівні зуби та правильний прикус?

Запишіться на консультацію ортодонта - підберемо систему та розрахуємо вартість.