Лікування карієсу в Ірпені

Лікування карієсу в Ірпені - безболісна процедура із сучасними матеріалами. Відновлюємо зуби, зберігаючи їх природний вигляд. Ціна від 1 800 грн.

Лікування карієсу - найпоширеніша стоматологічна процедура, яка дозволяє зберегти зуб і запобігти його руйнуванню. У стоматології Sorridi в Ірпені лікуємо карієс на будь-якій стадії - від початкового до глибокого ураження. Фотополімерні пломби повністю відтворюють колір та форму зуба.

Карієс не зникає сам по собі - він прогресує. Без лікування ураження поширюється вглиб зуба, пошкоджує нерв і призводить до пульпіту або періодонтиту. Рання діагностика дозволяє зберегти зуб живим і уникнути складних та дорогих втручань.

Використовуємо пломбувальні матеріали провідних виробників - міцні та естетичні. Лікування проводиться під анестезією, тому процедура безболісна. Гарантія на пломби - 2 роки.

Стадії карієсу та лікування в Ірпені

Поверхневий карієс

  • Лікування без бормашини (можливо)
  • Мінімальне втручання
  • Швидке відновлення
  • Збереження тканин зуба

від 1 800 грн

Середній карієс

  • Видалення ураженої тканини
  • Сучасні композитні пломби
  • Анестезія при необхідності
  • Відновлення форми зуба

від 2 600 грн

Глибокий карієс

  • Ретельна обробка
  • Лікувальна прокладка
  • Якісна пломба
  • Профілактика пульпіту

від 3 000 грн

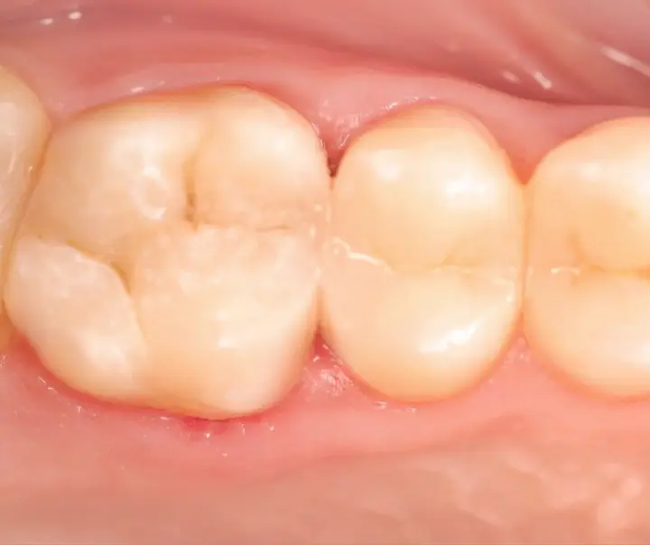
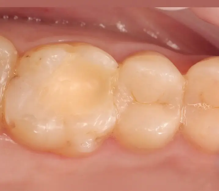
Результати лікування карієсу: До та Після

Результат лікування карієсу - Sorridi Ірпінь Зуби до лікування карієсу - Sorridi Ірпінь
До Після

Потягніть за слайдер для порівняння результату

Процес лікування карієсу в Ірпені

1

Діагностика

Визначення глибини ураження

2

Анестезія

Безболісне знеболення (при необхідності)

3

Очищення

Видалення ураженої тканини

4

Пломбування

Відновлення зуба композитом

5

Полірування

Доведення до ідеалу

Переваги лікування карієсу в Sorridi (Ірпінь)

Безболісне лікування
Сучасні матеріали
Збереження зуба
Гарантія на пломбу
Один візит
Естетичний результат

Часті питання про лікування карієсу

Чи боляче лікувати карієс?

Ні, процедура проводиться під якісною анестезією. Ви не відчуваєте болю.

Скільки часу займає лікування?

Залежить від глибини каріозної порожнини. Зазвичай 30-60 хвилин на один зуб.

Скільки тримається пломба?

Сучасні композитні пломби служать 5-7 років при правильному догляді.

Болить зуб або помітили темну пляму?

Не відкладайте - запишіться на огляд. Чим раніше, тим простіше лікування.